من الشائعات الخاطئة أن تنظيف الأسنان يؤدي لضعفها وتصحيحا وفي هذا الإطار يفند الطبيب خالد عبد الودود بالنقاط التالية:
■ تنظيف الترسُّبات الكلسيّة هو المرحلة الأولى من علاج التهاب اللثة بالإضافة لوصف المضاد الحيوي ومضاد الاتهاب تراكم هذه الترسبات يؤدي لانحسار اللثة وتآكل العظم السّنخي وسقوط الأسنان تدريجيا حتى ولو لم تكن مسوّسة.
■ هذا التنظيف لا يؤدي أبدا لضعف الأسنان لأنه لا يُزيل من طبقاتها المُكوِّنة وإنما يزيل فقط الرواسب والأوساخ.
■ هذا التنظيف علاجيّ وتجميليّ في الوقت نفسه.
■ ليس من الضروري أن يقوم المريض بالتنظيف عدة مرات في حياته كما هو شائع ؛ بلْ أقول أن مرة واحدة تكفي مدى الحياة إذا حافظ الشخصُ على مستوى نظافة جيد بشكل يومي لأن هذه الرواسب تتشكل من إهمال بقايا الطعام فقط بالإضافة لأسباب أخرى ثانوية ومهملة مقارنة بالسبب المذكور.
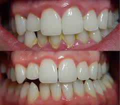
●●صورة تُظهر الترسبات قبل وبعد التنظيف●●
